Neck Pain Overview
A Patient's Guide to Neck Pain (Overview)
Introduction
Over many years, our necks are subjected to repeated stress and minor injury. These injuries may not cause pain at the time of injury. However, repeated injuries add up, and can eventually result in degeneration of the cervical spine, causing neck pain. Most neck pain is due to degenerative changes that occur in the neck. The overall condition of the cervical spine usually determines how fast you recover from an injury, and whether your neck pain will become a chronic problem.
For chronic neck pain, there may not be a quick fix or complete cure. You will need to work with your health care team to try to improve the problem causing pain and to slow down the degenerative process. The physician's role in the treatment of neck pain is to find the main causes that need treatment right away. He or she will also try to keep your neck pain from becoming a chronic condition by teaching you how to slow down the degenerative process and prevent further injury.
The purpose of this information is to help you understand:
- The causes of neck pain
- The normal anatomy of the spine and neck
- The signs and symptoms of degenerative changes in the neck
- The treatments available to you now and later
- What you can expect from those treatments
- What you can expect long-term if you have a problem with neck pain
In order to understand your symptoms and treatment choices, you must start with some understanding of the general anatomy of your spine and neck. This includes becoming familiar with the various parts that make up the neck. You should have a general understanding of the function of these parts, that is, how they work together. The more you know, the more you will be able to talk with your doctors and health care team in words that will help them better understand your specific problem. It will also help you understand what they are telling you about your particular problem.
The purpose of this information is to help you understand your neck pain problem, so you can make the decisions that will best help you to prevent injury, make the best treatment choices, and speed up the healing process.
Anatomy
The Parts of the Cervical Spine and How They Work

In general, the neck includes the cervical spine (the upper most part of the spine) and the soft tissues that surround the cervical spine. These soft tissues include: nerves, muscles, ligaments, tendons, and blood vessels. The cervical spine is made up of the first seven vertebrae in the spine. Your doctor will usually refer to these bones as C1 through C7. The cervical spine starts just below the skull and ends just above the thoracic spine. The spine has two main functions:
- To protect and support the spinal cord
- To give structure and support to our body allowing us to stand up straight"
The vertebrae are the 24 bones that are linked together to make up the spinal column. Just as the bones of the skull protect our brain, the bones of the spine protect the spinal cord. The spinal cord is the large collection of nerves that connects the brain to the rest of the body.
In the center of each vertebra is a large hole. Because the vertebrae are all linked together, these holes line up to form a "bony tube", called the spinal canal, through which the spinal cord passes. This bony tube makes up the spinal canal, which provides protection and support for the spinal cord.
As the spinal cord leaves the brain, it travels down the spinal canal to the tailbone. Along the way, it gives off smaller nerves that leave the spine between each vertebra through an opening called the foramen. The nerves that leave the spine in the upper area, or the cervical spine, travel into the arms to the hands. The nerves that leave the spine in the chest area, or thoracic spine, mostly go into the chest and belly area. The nerves that leave the spinal canal in the lower spine, or the lumbar spine, travel into the legs and feet.
To
better understand how the parts of the spine work together, let's look at a
spinal segment. A spinal segment is made up of: two vertebrae, the intervertebral
disc between the vertebrae, and the two nerve roots, one from each side that
"branch off of " the spine. The cervical vertebrae are the smallest vertebrae
in the spine because they do not have the weight-bearing function of the vertebrae
in the back. One pair of spinal nerves exits through the gap between the vertebrae
in each segment. One common cause of pain comes from pressure on the nerve roots,
sometimes causing pain and numbness in the neck or in the lower body.
The space between two vertebrae contains a large round disc of connective tissue, called an intervertebral disc. By looking at the intervertebral disc from above, we can see an outer ring, called the annulus, and a soft spongy center, called the nucleus pulposus. The annulus is the strongest part of the disc and helps keep the spongy center inside the disc. The nucleus pulposus acts as a shock absorber to cushion the bones from pressure during twisting, jumping, and weight bearing.
A joint is formed where two or more bones meet. Bony knobs, called facets, extend from each vertebra and overlap each other to form a facet joint. Facet joints link the vertebrae together like a chain, and provide a mobile connection between each vertebra. The facet joints are important because they allow the neck to bend and turn. Each vertebra can move only a little, but the chain of small movements combined makes the spine very flexible.
The Most Common Causes of Neck Pain
The disc is made up of connective tissue, which wears normally as we age. However, many of the problems that cause neck pain are from abnormal wear and tear. This process is called degeneration of the intervertebral disc. Degeneration often results from small injuries that may not cause pain at the time the injuries actually occur. Over time, these injuries add up and the abnormal wear and tear can weaken the connective tissue that makes up the disc. Once the connective tissue is weak, sudden stress, such as a whiplash type movement, may injure the disc more easily. The entire process of disc degeneration is sometimes referred to as spondylolysis. You may hear your doctor refer to your neck problem as spondylolysis of the cervical spine.
To really understand neck pain, you need an understanding of the wear and tear process, called disc degeneration. This will also help you later understand what can happen to the neck when a sudden injury can cause immediate pain and dysfunction. The next section will explain both the process of degeneration and the most common causes of pain in the neck.
Degenerative Disc Disease
To help you understand disc degeneration, compare a spinal segment to two vanilla wafers (the "vertebrae") and a marshmallow (the "disc"). Imagine a fresh marshmallow between the two wafers. When you press the wafers close together, the marshmallow gives or "squishes out". Suppose you leave the marshmallow out for a week and it starts to dry out. When you press it between the wafers, it is not quite as spongy. If you press hard enough, the outside of the marshmallow may even tear or split. Suppose you left the marshmallow out for a month. It would probably be so dried out it would be hard and very thin and would not have any "shock absorbing" ability.
As we age, the disc loses some of its water content and, as a result, some of its shock absorbing ability. Like the marshmallow, the first changes that occur in the disc are tears in the outer ring of the disc, called the annulus. Tears in the annulus may occur without symptoms. Therefore, you may not notice when they occur or what caused them. These tears heal by forming scar tissue. Scar tissue is weaker than normal tissue. Repeated injuries and tears cause more wear and tear to the disc. As the disc wears, it loses more of its water content. It becomes less and less "spongy", eventually no longer able to act as a shock absorber.
As the disc continues to wear, it begins to collapse. The space between each vertebra becomes smaller. The collapse also affects the way that the facet joints in the back of the spine "line up". Like any other joint in the body, the change in the way the bones fit together causes abnormal pressure on the articular cartilage. Articular cartilage is the smooth shiny material that covers the end of the bones in any joint. Over time, this abnormal pressure causes wear and tear arthritis (osteoarthritis) of the facet joints.
Bone spurs may form around the disc and facet joints. It is thought that too much motion in a spinal segment causes the bone spurs to form. Eventually, bone spurs can form around the nerves of the spine, causing a condition called spinal stenosis.
Spinal Conditions
Degeneration of the disc and spinal segment can result in several different spinal conditions that cause problems. These include: mechanical neck pain, cervical radiculopathy, and spinal stenosis. Sometimes we may injure our neck with a relatively minor injury. These minor injuries may cause pain for a few days and then go away. This is commonly referred to as a neck, or muscle strain. Actually, we may never fully understand what has been injured in one of these episodes. In the next section, we will try to explain each condition and how they differ.
Muscle Strain
A "muscle strain" of the neck is a common diagnosis given when a patient presents a stiff neck. In some cases, this may represent a true "muscle strain", or "pulled muscle" involving the muscles around the spine of the neck. However, muscle spasm is a common symptom that can result when other areas of the neck are injured. Problems that are commonly referred to as a muscle strain may also involve injury of other soft tissues of the neck including: the disc, the ligaments around the spinal segment, and the muscles. Injury to any, or all, of these structures may cause similar symptoms.
Mechanical Neck Pain
A chronic neck ache where the pain stays mainly in the neck may be the result of degenerative disc disease and arthritis of the facet joints of the cervical spine. Doctors sometimes refer to this type of pain as mechanical pain. This term is used because it gets worse when we use our neck more and seems to be coming from the parts of the cervical spine - the mechanical parts that allow us to move our head around and up and down.
This type of pain does not come from pinched, or irritated, nerves. The pain seems to come from the inflamed facet joints and from the degenerated disc. As the disc and facet joints become more inflamed when we use our neck to move our head, the muscles around the cervical spine begin to spasm. You can think of a muscle spasm similar to a muscle cramp. Muscles that are cramping eventually cause pain. The spasm occurs as the body's response to try to stop the movement in the cervical spine.
Cervical Radiculopathy (Pinched Nerve)
When a nerve root leaves the spinal cord and the cervical spine, it travels down into the arm. Along the way, each nerve supplies sensation (feeling) to a part of the skin of the shoulder and arm and supplies electrical signals to certain muscles to move part of the arm or hand. When a nerve is irritated or pinched - by either a bone spur or part of the intervertebral disc - it causes the nerve not work properly. This shows up as: weakness in the muscles the nerve goes to, numbness in the skin where the nerve goes, or pain in the area where the nerve travels. This condition is called cervical radiculopathy. Let's look at the different causes of cervical radiculopathy.
Pinched Nerve from a Herniated Disc

Injury to the disc may occur when neck motion puts too much pressure on the disc. One of the most painful injuries that can occur is a herniated disc. In this injury, the tear in the annulus is so bad that part of the nucleus pulposus squeezes out of the center of the disc. The annulus can tear or rupture anywhere around the disc. If it tears on the side next to the spinal canal, then when the nucleus pulposus squeezes out, it can press against the spinal nerves. Pressure on the nerve root from a herniated disc can cause pain, numbness, and weakness along the nerve. There is also evidence that the chemicals released from the ruptured disc may irritate the nerve root, leading to some of the symptoms of a herniated disc - especially pain.
Herniated discs are more common in early, middle-aged adults. This condition may occur when too much force is exerted on an otherwise healthy intervertebral disc. An example would be a car accident where your head hit the windshield. The force on the neck is simply too much for even a healthy disc to absorb and injury is the result. A herniated disc may also occur in a disc that has been weakened by the degenerative process. Once weakened, less force is needed to cause the disc to tear or rupture. However, not everyone with a ruptured disc has degenerative disc disease. Likewise, not everyone with degenerative disc disease will suffer a ruptured disc.
Pinched Nerve from Degeneration and Bone Spurs
In middle-aged and older people, the degenerative disc disease can cause bone spurs to form around the nerve roots. This usually occurs inside the foramen - the opening in the cervical spine where the nerve root leaves the spine to travel into the arm. If these bone spurs get large enough, they may begin to rub on the nerve root and irritate it. This causes the same symptoms as a herniated disc. The irritation causes: pain to run down the arm, numbness to occur in the areas to which the nerve provides sensation, and weakness in the muscles that the nerve supplies.
Spinal Stenosis (Cervical Myelopathy)
Perhaps the most serious of the problems caused by degeneration of the spinal segment in the cervical spine is the condition of spinal stenosis. In the late stages of spinal degeneration, bone spurs from the degenerative process can cause a condition known as spinal stenosis. As the bone spurs form, the size of the spinal canal becomes smaller. The bone spurs begin to press on the spinal cord or the nerve roots. Pressure on the nerves in the spinal cord can cause numbness, tingling, or pain in the arms, hands, and legs. This condition is sometimes called cervical myelopathy and is different from the simpler problem where only one nerve root is being pinched by a herniated disc or a bone spur.
When there is narrowing of the spinal canal (the bony tube where the spinal cord runs), the whole spinal cord may be affected. This is different than when the bone spurs only narrow one of the foramen (the openings where the nerve roots exit). The symptoms are much different. A pinched nerve from either a herniated disc or a bone spur rarely affects the legs. Cervical myelopathy can affect both the arms and the legs.
Symptoms
Symptoms are how the cause of your pain affects you. Common symptoms include:
- Pain in your neck
- Headaches
- Pain in your shoulder, arm, or hand
- Reduced range of motion in your neck
- Numbness, weakness, and slower reflexes in your arms, hands,legs, or feet
- Problems walking including a "spastic gait"
- Muscle weakness in your legs
Diagnosis
Finding the Cause of Your Neck Pain
Finding the cause of neck pain begins with a complete history and physical examination. After the history and physical exam, your doctor will have a good idea of the cause of your pain. To make sure of the exact cause of your neck pain, your doctor can use several diagnostic tests. These tests are used to find the cause of your pain, not to make your pain better. Regular X-rays taken in the doctor's office are usually a first step in looking into any neck problem and will help determine if more tests are needed.
Complete History
A "complete history" is usually made up of two parts. The first part is written; a form that you fill out while you wait to see the doctor. While you fill out the form, take time to think about everything you can remember that relates to your neck pain and write it down. The more you can tell your doctor, the faster he or she can diagnose the cause and help relieve your pain. The second part of your history will be answering questions. Your doctor will ask you to describe when your neck pain began and the type of pain you are having.
Examples of questions that might be asked include:
- When did the pain first begin?
- Have you increased your activity level?
- Have you had an injury, or surgery, to your neck at any time?
- Does the pain go down into your arms or legs?
- What causes your neck to hurt more or less?
- Have you had any problems with your bowels or bladder?
Physical Examination
Once most of the information is gathered, your doctor will give you a thorough physical exam. During the exam, your doctor will look at your neck to find out how well it is functioning. This includes:
- How well you can bend your neck and roll your head in all directions
- How well you can twist your neck
- If there is tenderness around the neck
- If there are muscle spasms around the neck and shoulders
Tests that examine the nerves that leave the spine are also important. These include:
- Testing for numbness in the arms and hands
- Testing the reflexes
- Testing the strength of the muscles in the arms, hands, and legs
- Testing for signs of nerve irritation
X-rays
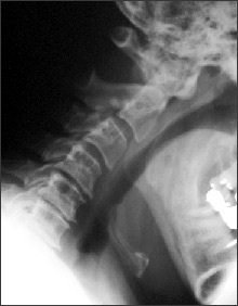
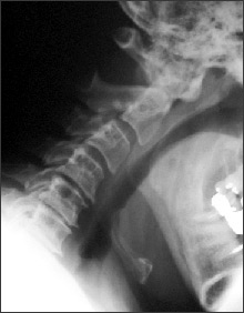
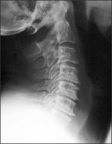
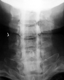
X-rays show the bones of the cervical spine. Most of the soft tissue structures of the spine, such as the nerves, discs, and muscles, do not show up on X-ray. X-rays can show problems that affect the bones, such as infection, fractures, or tumors of the bones. X-rays may also give some idea of how much degeneration has occurred in the spine. X-rays alone will not show a herniated disc. Also, narrowing of the disc space between each vertebra and bone spurs do show up on X-rays. The X-rays will be useful in showing how much degeneration and arthritis are affecting the neck.
X-ray Cervical disc Degeneration
Magnetic Resonance Imaging (MRI)

The MRI is the most commonly used test to evaluate the spine because it can show abnormal areas of the soft tissues around the spine. The MRI is better than an X-ray because in addition to the bones, it can also show pictures of the nerves and discs. The MRI is done to find tumors, herniated discs, or other soft-tissue disorders. The MRI is painless and lasts about 90 minutes. During the MRI, very detailed computer images of sections of the spine are taken. Unlike most other tests, which use X-rays, the MRI uses magnetic fields and radio waves to see the structures of the neck. Pictures can also be taken in a cross-section view. The MRI allows the doctor to clearly see the nerves and discs without using special dyes or needles. In many cases, the MRI scan is the only special test that needs to be done to find the cause of your neck pain.
Before the MRI, you will be asked to remove any metal objects, such as jewelry. You will also be asked if you have metal implants such as a pacemaker or joint replacement. Because of the strong magnetic field, people with certain types of metal implants cannot undergo an MRI.
The MRI scanner is a very large machine with a tunnel-like area in the center. While you lie on a table, the table slides into the tunnel of the scanner. Once in position, you will be asked to remain very still for the rest of the test. During the test, you will hear the clicking and thumping noises as the scanner moves. While the scanner is taking pictures, the technician can see the pictures on a monitor and record them.
MRI Scan Cervical Stenosis
Computer Assisted Tomography (CAT Scan)
The CAT scan is a very detailed X-ray, and is very similar to the MRI. During a CAT scan, cross-section X-rays, or X-ray "slices", are taken of the spine. The CAT scan shows the bones of the spine much better than the MRI; however, the MRI is better than the CAT scan for showing soft tissues. The CAT scan is most useful when your doctor suspects a condition that only affects the bones of the spine. The CAT scan is commonly combined with a myelogram to get a better picture of the spinal nerves. Together, these two tests can help determine if the pressure on the nerve is from spinal stenosis or a herniated disc.
The CAT scan is done much like the MRI; you are on a table that slides into the scanner, while you lie very still. The CAT scan lasts about 30 to 60 minutes. If dye is used, you will have restrictions on what you can eat or drink before the test. After pictures have been taken without dye, you will be removed from the scanner and dye will be injected. Then, you will be moved back into the scanner and more pictures will be taken.
CAT Scan Cervical Stenosis
Myelography (Myelogram)

Myelography is used to evaluate an area of the spine called the subarachnoid space. Myelography is used to find herniated discs, injury to the spinal nerve roots, or tumors. During this test, a special dye, which can be seen on the X-ray, is injected into the spinal sac. Because the dye weighs more than spinal fluid, the movement of the dye can be watched as the table is tilted up and down. By watching the movement of the dye, the doctor can see the outline of the subarachnoid space. If the shape of the spinal sac looks abnormal, or indented, this may mean there is pressure on the nerves of the spine. A herniated disc may cause this pressure.
You will have restrictions on your diet for several hours before the test. The test begins with the doctor inserting a needle between two discs in your back. This is done while you lie on the edge of the table with your chin on your chest and your knees drawn up toward your chest. Once the needle is in place, you will turn over and lie flat on your stomach. Then the nurse will strap you to the table for your protection. The doctor will inject dye through the needle in your back. You may notice a brief burning feeling as the dye is injected. After the dye is injected, you may feel warm or flushed. The table will be tilted. As the table tilts, the dye will flow through the spinal area. The doctor will watch the flow of the dye and take X-rays. After X-rays have been taken, the needle will be removed and you will rest in the hospital for several hours or maybe overnight.
Myelogram Cervical Stenosis

Electromyogram (EMG)
An EMG tests the speed at which the nerve roots send electrical messages to
the brain. The test is done by inserting tiny needle electrodes into the muscles
of the lower leg. The EMG measures the electrical signals in the muscles. The
EMG can show if a nerve is being pinched after it branches from the spine.
Before the test, you may have some restrictions on what you eat or drink, including certain medications. You will need to sign a consent form. During the test, you will lie down or sit so that the muscles being tested are at rest. Then a needle electrode is inserted into the muscle; you may feel some discomfort. A metal plate that records the electrical signal is placed under you. Abnormal electrical activity can mean that the nerve is being pinched. The test lasts about an hour.
Bone Scan
A bone scan is used to help locate the affected area of the spine. In order to perform a bone scan, a radioactive chemical is injected into the bloodstream. The radioactive chemical attaches itself to areas of bone that are undergoing rapid changes for any reason. Areas of the skeleton that are undergoing rapid changes appear as dark areas on the film. Once the affected area is identified, other tests, such as the MRI scan are done to look more closely at the specific area.
Laboratory Tests
There are many possible causes of neck pain. Some of these causes are not related to degeneration of the spine. Blood tests to look for infection or arthritis may be necessary. Problems originating in areas other than the spine may also cause neck pain. If your doctor feels that you may have a throat problem or a thyroid problem, other tests may be ordered to make sure the problem is not coming from these areas.
Treatment
Choices to Reduce Your Neck Pain
Treatment for any back condition should involve two goals:
- Relieve pain
- Reduce the risk of re-injury
The treatment of neck pain can range from the reassurance that nothing is wrong to very delicate surgery. Treatment is always based on the individual and his or her symptoms. In general, treatment for neck pain falls into two broad categories: conservative treatment (non-surgical) and surgical treatment.
- Conservative Treatment
- Non-Surgical Treatment for Your Neck Pain
- Medications
Medications are commonly used to control pain, inflammation, muscle spasm, and sleep disturbance.
Some general tips about treatment with medication:
- Medication should be used wisely! Take all medications exactly as prescribed and report any side effects to your doctor.
- Some pain medicines are highly addictive!
- No pain medicine will control chronic pain if used over a long period.
- No medication will cure neck pain of degenerative origin.
Cervical Collar
A cervical collar is often used to provide support and limit motion while an injured neck is healing. It also helps keep the normal alignment. Cervical collars can be soft (made of foam) or hard (made of metal or plastic). Because these collars can restrict the movement of your head, you may need help with eating and other activities. The skin under the collar needs to be checked every day to prevent blisters or sores.
Cervical Pillow
A cervical pillow is sometimes recommended for people who have problems with neck pain at night. The cervical pillow is designed to hold the neck in the best position to prevent excess stress on the cervical spine during sleep.
Physical Therapy
Your doctor may have a physical therapist work on an exercise program developed just for you. The physical therapist will teach you ways to prevent further injury to your neck.
For a complete description of the rehabilitation of neck pain, you may wish to review the document:
- Neck Rehabilitation
Epidural Steroid Injection (Nerve Block)
If other treatments do not relieve your back pain, you may be given an epidural steroid injection (ESI), or a cervical nerve block. An ESI places a small amount of cortisone into the bony spinal canal. Cortisone is a very strong anti-inflammatory medicine that may control the inflammation surrounding the nerves and may ease the pain caused by irritated nerve roots. The ESI is not always successful. This injection is often used when other conservative measures do not work, or in an effort to postpone surgery.
Surgical Treatment
Common Operations Used for Neck Pain
Surgery is only necessary for a few people. However, no single type of surgery works for every neck pain problem. If your doctor thinks surgery will improve your neck pain, he will suggest the type of surgery he thinks is the best for you. Numerous surgical procedures have been designed to treat each type of neck pain. The following section describes different surgical treatments in a very general way, and gives an overview of what each type of procedure tries to accomplish. Surgical procedures are generally done for one of three reasons:
- To remove pressure from the nerve roots caused by bone spurs or herniated disc material (for cervical radiculopathy)
- To remove pressure from the spinal cord (for cervical myelopathy)
- To stop the motion between two vertebrae - or a spinal segment (for degenerative disc disease)
Discectomy
One of the most common surgical procedures for problems in the cervical spine is an anterior cervical discectomy. The term "discectomy" means "remove the disc". A discectomy relieves the pressure on a nerve root by removing the herniated disc causing the pressure.
In the cervical spine, the disc is usually removed from the front. An incision is made in the front of your neck right beside your trachea (windpipe). The muscles are moved to the side. The arteries and nerves in the neck are protected as well.
Once the spine is reached from the front, each disc and vertebra are identified using an X-ray to make sure that the right disc is being removed. Once this is determined, the disc is removed all the way back to the spinal cord. Any bone spurs that are found sticking off the back of the vertebra are removed as well. Great care is taken to not damage the spinal cord and nerve roots.
In the cervical spine, a discectomy is usually combined with a anterior spine fusion, where the two vertebrae on either side of the removed disc are allowed to heal together, or fuse. The cervical fusion is described in detail below.
Cervical Fusion
Once the disc has been removed between the vertebrae, a cervical fusion is performed. This procedure allows the surgeon to fill the space left by removing the disc with a block of bone taken from the pelvis. Placing a bone graft between two or more vertebrae causes the vertebrae to grow together, or fuse. If your neck problem is caused by segmental instability, a spinal fusion may also be recommended - even if you do not have a cervical radiculopathy.
The bone graft is usually taken from the pelvis at the time of surgery, but some surgeons prefer to use bone graft obtained from a bone bank. Bone graft from a bone bank is taken from organ donors and stored under sterile conditions until it is needed for operations such as spinal fusion. The bone goes through a rigorous testing procedure, similar to a blood transfusion. This is in order to reduce the risk of passing on diseases, such as AIDS or hepatitis, to the recipient.
There are two basic types of spinal fusion:
Anterior Interbody Fusion
This type of fusion is much more common in the neck. This type of fusion is described above. In the interbody fusion, a bone graft is placed between two vertebrae and replaces the removed disc. During the healing process, the vertebrae grow together, creating a solid piece of bone out of the two vertebrae.
Posterior Fusion
You may hear the term posterior fusion as well. In the posterior fusion, the
bone graft is placed on the back side of the vertebrae. During the healing process,
the vertebrae grow together, creating a solid piece of bone out of the two vertebrae.
This type of fusion is only rarely used in the cervical spine, generally only
for fractures of the spine. If surgery is necessary, the anterior interbody
cervical fusion is used to treat most problems in the neck caused by degenerative
disc disease. These include unrelieved neck pain and pressure on the nerve roots
caused by bone spurs or a herniated disc.
The goal of spinal fusion is to stop the motion caused by segmental instability. This reduces the mechanical neck pain caused from excess motion in the spinal segment. The anterior cervical fusion may also be done in a way that spreads the vertebrae apart a bit, trying to restore the space between them. Increasing the distance between the vertebrae also makes the foramen larger in the back part of the spinal column. This may reduce the pinching and irritation of the nerve roots by bone spurs around the foramen.
Instrumented Cervical Fusion
When doing a cervical fusion, the bone graft may simply be wedged in between the vertebra. It is held there simply because it is wedged in tight. In recent years, there has been an increase in the use of metal plates, screws, and rods to try to increase the success of helping the spine to fuse. Many different types of metal implants are used; all try to hold the vertebrae in position while the fusion heals. Bone heals best when it is held still, without motion between the pieces trying to heal together. The healing of a fusion is no different than healing a fractured bone, such as a broken arm. However, the neck is a difficult part of the body to hold still.
In the past, casts and braces were used in an attempt to reduce the motion in the neck and to increase the success rates of a spinal fusion. In most cases, these braces and casts were simply too cumbersome to wear for three months, and did a poor job of actually holding the neck still enough to allow the fusion to heal.
In the cervical spine, the most common form of internal fixation is using a metal plate and screws. The plate sits on the front of the vertebrae and the screws go backwards into the vertebral body to help hold the plate in place and to help keep the bone graft from slipping out of place.
By using metal plates and screws, the vertebra can be held rigidly in place while the fusion heals. Braces and casts are not needed.
Laminectomy
If spinal stenosis is the main cause of your neck pain, then the spinal canal
must be made larger and any bone spurs pressing on the nerves must be removed.
One way that this is done is with a complete laminectomy. Laminectomy means
"remove the lamina". Remember from the anatomy section, the lamina is the back
side of the spinal canal and forms the roof over the spinal cord. Removing the
lamina gives more room for the nerves and allows the removal of bone spurs from
around the nerves. A laminectomy reduces the pressure on the spinal cord and
the irritation and inflammation of the spinal nerves.
In the cervical spine, removing the lamina completely may cause problems with the stability of the facet joints between each vertebra. If the joints are damaged during the laminectomy, the spine may begin to tilt forward causing problems later. One way that spine surgeons try to prevent this problem is not to actually remove the lamina. Instead, they simply cut one side of the lamina and fold it back slightly. The other side of the lamina opens like a hinge. This makes the spinal canal larger giving the spinal cord more room. The cut area of the lamina eventually heals to keep the spine from tilting forward.
Corpectomy and Strut Graft
Perhaps a more popular procedure for removing the pressure on the spinal cord causing spinal stenosis and cervical myelopathy is to remove the front of the spinal canal. This means that the large part of several of the vertebrae must be removed - the vertebral bodies and the discs between. This procedure is called a corpectomy. "Corpus" means body and "ectomy" means remove. Once the vertebral bodies have been removed, the space must be filled with something. Again, just as in the anterior cervical fusion, this space is usually filled with a bone graft. Some type of internal fixation is usually required to hold the vertebrae and the bone graft in place. You will probably also need to be placed in a halo jacket to hold your head perfectly still while the healing occurs and the vertebrae fuse. This is a very uncommon procedure.
Surgical Complications
With any surgery, there is a risk of complications. When surgery is done near the spine and spinal cord these complications (if they occur) can be very serious. Complications could involve subsequent pain and impairment and the need for additional surgery. You should discuss the complications associated with surgery with your doctor before surgery. The list of complications provided here is not intended to be a complete list of complications and is not a substitute for discussing the risks of surgery with your doctor. Only your doctor can evaluate your condition and inform you of the risks of any medical treatment he or she may recommend.
- Anesthesia - Any operation that requires some type of anesthesia can be potentially harmful. Surgery on the cervical spine usually requires that you be put under general anesthesia. General anesthesia means that you are put to sleep. Anesthesia carries a risk of allergies to the medications. There are also different life-threatening situations that can occur during anesthesia. It is extremely unlikely that these complications will occur, but you should be aware that they are possible.
- Infection - Any surgery involving an incision in the skin can become infected. In addition, the bone graft and area around the spine may become infected. An infection will usually require some type of antibiotic medication to treat the infection. If the infection involves the bone, it may require one or more additional operations to drain the infection. The risk of infection is probably less than one percent.
- Blood Vessel Damage - There are large arteries and veins that travel through the neck into the brain. The carotid artery and the jugular vein are nearby. It is possible to damage these blood vessels during the surgery. Again, it is extremely unlikely that this will occur, probably less than one in a thousand.
- Nerve Damage - There are nerves in the neck that travel along the area where the incision is made to perform an anterior cervical discectomy and fusion. These nerves go to the vocal chords. There is the possibility that these nerves can be damaged during surgery. This can lead to hoarseness. If this occurs, it will usually recover unless the nerve is permanently damaged or cut. Again, this is unlikely.
- Spinal Cord Damage - Operations that are performed on the cervical
spine out of necessity place the spinal cord at risk for injury. Spinal cord
damage is probably much more likely in the larger, more serious operations such
as the corpectomy and strut grafting procedures. These are complex, difficult
operations and are done for extremely serious problems that are unlikely to
respond to any other type of treatment.
The routine anterior discectomy and fusion is a common operation that is extremely safe. While damage to the spinal cord is possible, it is highly unlikely. - Graft Displacement - One of the more common problems that can occur after an anterior cervical discectomy and fusion is that the bone graft may move out of position. If it moves too much, it may require a second operation to place a new bone graft in its place.
- Non-Union - In spite of a successful operation and good bone graft, a fusion may not occur between the vertebrae. This is termed a non-union. Usually your surgeon will be able to tell if a fusion has occurred by looking at X-rays taken over a three to six month period following the surgery. If a fusion does not occur and you have no pain, a second operation will not be necessary. If you continue to have pain, and a non-union is diagnosed after surgery, your surgeon may suggest a second attempt at fusion. When trying for the second time after a failed fusion, most surgeons will usually include some type of internal fixation, such as a plate and screws.
Rehabilitation
Your doctor may have you see a physical therapist who will design a neck-care program just for you. Your physical therapist will evaluate your condition and design a program to ease your pain and help your neck move better. You will also be given ways to take care of your neck so you can avoid pain and prevent further injury to your neck.
For a complete description of the rehabilitation of neck pain, you may wish to review the document, entitled:
- Neck Rehabilitation
Copyright © 2003 DePuy Acromed.